Pular para o conteúdo principal

Antibióticos para Controle Periodontal


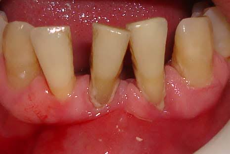
Resultado de imagem para periodontite"
A seguir alguns medicamentos que podem ser utilizados para controle periodontal de acordo com artigos e o livro de Eduardo Dias de Andrade: Terapêutica Medicamentosa em Odontologia!





Amoxicilina 500 mg + Clavulanato de Potássio 125 mg (Clavulin): contra-indicado para pacientes com hipersensibilidade à penicilina e à cefalosporina.
 1 comprimido 8/8 horas 3 vezes ao dia

Amoxicilina 875 mg + Clavulanato de Potássio 125 mg (Clavulin ou Novamox): contra-indicado para pacientes com hipersensibilidade à penicilina e à cefalosporina.
1 comprimido 12/12 horas 2 vezes ao dia

Tetraciclina (Minociclina e Doxiciclina) 500 mg + 8 ml de água destilada + 2 ml de álcool 70: não utilizar em grávidas e em crianças, nefrotoxicidade, desconforto intestinal, causa manchamento e desenvolve resistência bacteriana. A doxiciclina é a mais utilizada na odontologia.
Irrigação na bolsa periodontal.

Amoxicilina 400 mg + Clavulanato de Potássio 57 mg/5ml suspensão (Novamox):
Acima de 7 anos (> 22 kg): 5 ml 2 vezes ao dia
Menor de 7 anos (< 22 kg): 2,5 ml 2 vezes ao dia
Em caso de infecções mais severas dobrar a dose acima recomendada.

Amoxicilina 500 mg:  pode ser associada ao Metronidazol para tratamento da GUN e pericoronarites com comprometimento sistêmico.
Uma dose inicial de ataque de 2 cápsulas de amoxicilina e a dose de manutenção de uma 1 cápsula a cada 8 horas de 5 a 7 dias.  

Metronidazol 250 mg (Flagil): pode ocasionar diarréia.
1 comprimido de 8/8 horas por 3 a 5 dias.

Clindamicina 300 mg (Dalacin C): indicado para alégicos à penicilina.
1 cápsula 6/6 horas de 5 a 7 dias.

Estereato de Eritromicina 500 mg (Pantomicina): pode ser associada ao Metronidazol.
Uma dose inicial de ataque de 2 drágeas de eritromicina e a dose de manutenção de uma 1 drágea a cada 8 horas de 5 a 7 dias.

Doxiclina 100 mg (Vibramicina): indicada para alérgicos à penicilina.
1 drágea por dia durante 14 dias.

Comentários

Postagens mais visitadas deste blog

O que são os Estágios de Nolla?

Saiba como ocorreu a Pesquisa de Nolla e a formação dos estágios.

Protocolo para cimentação de pino de fibra de vidro

Olá, essa postagem possui o objetivo de demonstrar um protocolo para cimentação de pinos de fibra de vidro! Pino de fibra de vidro (Imagem própria)

Submissão para Apresentação oral na Semana Acadêmica Odontológica

Pulpotomia

A Pulpotomia é uma técnica, como  o próprio nome já diz, que irá atuar na polpa dental. Esta é um tecido conjuntivo frouxo de origem mesenquimal que é circundado por dentina podendo ainda, ser de divididas em duas porções: a polpa coronária e a polpa radicular . A Pulpotomia é uma técnica de remoção somente  da polpa coronária, ou seja, da coroa, que é   seguida por medicação para que se conserve a polpa da porção radicular.

Visualizações